실력은 서울대,
마음은 이웃처럼
이제 치과 치료 안심하세요.

150평 대규모 시설, 서울대 출신의 정직한 진료

임플란트부터 보험 혜택까지, 우리 동네 안심 주치의가 됩니다

서울대학교 로고

시흥치과
서울안심을 선택하는 이유,
숫자로 확인해보세요

임플란트 식립 수

누적 식립

3만건 이상
3, 4, 5층 규모의 대형 치과

전체 규모

200평
편리한 접근성

신천역 6번 출구

도보 1분

안심을 주는 시흥치과 서울안심치과 의료진

가족을 치료하는 마음으로,
실력을 넘어 안심을 드립니다.

풍부한 임상 경험은 기본, 어르신들의 작은 불편함까지
귀 기울이는 시흥치과 서울안심치과의 진심 어린 의료진을 소개합니다.

  • 이창희 대표원장
  • 박민정 원장
  • 김신혜 원장
시흥치과 서울안심 이창희 대표원장 서울대 통합치의학과 전문의
“환자분의 마음까지
살피는 진료를 합니다.”

통합치의학과 전문의

이창희

대표원장

· 서울대학교 치과대학

· 서울대학교 치의학대학원 졸업

· 서울대학교 치의학대학원 치의학과 석사

· 서울대학교 치과병원 종합진료실

· 대한 통합치의학회 정회원

· 대한턱관절장애 연수회 수료

· 인공치아 골유착학회 정회원

· 오스템 AIC Implant master course 수료

· ATC Advanced course 수료

· 턱관절장애교육연구회TMD course 수료

· IBS Minimally invasive surgery course 수료

시흥치과 서울안심 박민정 원장 치과보존과 전문의
“정직한 마음과 따뜻한 정성으로
진료하겠습니다.”

치과보존과 전문의

통합치의학과 전문의

박민정

원장

· 단국대학교 치과대학 치의학과 졸업

· 고려대학교 치과병원 보존과 레지던트 수료

· 대한치과보존학회 정회원

· 대한치과근관치료학회 정회원

· 대한심미치과학회 정회원

· 한국접착치의학회 정회원

시흥치과 서울안심 김신혜 원장 통합치의학과 전문의
“꼼꼼하고 정직한 진료를
약속드립니다.”

통합치의학과 전문의

김신혜

원장

· 치의학 석사

· 캐나다 University of British Columbia 치과대학 교환연수

· 서울대학교 치의학대학원 Advanced Periodontal & Implant Therapy course 4E

· ATC Implant Advance 수료

· Doctor's Endo course 수료

· DeArk 레진 수복 연수회

SEOUL ANSIM DENTAL CLINIC

시흥치과 서울안심치과는 수많은 말보다
결과로 증명합니다

시흥치과 서울안심 전악 임플란트 즉시 임시치아 시술 전

BEFORE

시흥치과 서울안심 전악 임플란트 즉시 임시치아 시술 후

AFTER

CASE.

전악 임플란트 + 즉시 임시치아

*위의 이미지는 동일한 조건에서 촬영되었으며 별도의 보정 작업을 거치지 않았습니다.

*모든 치료과정에서 부작용이 발생할 수 있으므로 정확한 진단과 수술이 요구됩니다.

*위의 이미지는 동일한 조건에서 촬영되었으며 별도의 보정 작업을 거치지 않았습니다.

*모든 치료과정에서 부작용이 발생할 수 있으므로 정확한 진단과 수술이 요구됩니다.

시흥치과 서울안심 상악동거상술 임플란트 시술 전

BEFORE

시흥치과 서울안심 상악동거상술 임플란트 시술 후

AFTER

CASE.

상악동거상술

*위의 이미지는 동일한 조건에서 촬영되었으며 별도의 보정 작업을 거치지 않았습니다.

*모든 치료과정에서 부작용이 발생할 수 있으므로 정확한 진단과 수술이 요구됩니다.

*위의 이미지는 동일한 조건에서 촬영되었으며 별도의 보정 작업을 거치지 않았습니다.

*모든 치료과정에서 부작용이 발생할 수 있으므로 정확한 진단과 수술이 요구됩니다.

시흥치과 서울안심 뼈이식 임플란트 시술 전

BEFORE

시흥치과 서울안심 뼈이식 임플란트 시술 후

AFTER

CASE.

뼈이식 임플란트

*위의 이미지는 동일한 조건에서 촬영되었으며 별도의 보정 작업을 거치지 않았습니다.

*모든 치료과정에서 부작용이 발생할 수 있으므로 정확한 진단과 수술이 요구됩니다.

*위의 이미지는 동일한 조건에서 촬영되었으며 별도의 보정 작업을 거치지 않았습니다.

*모든 치료과정에서 부작용이 발생할 수 있으므로 정확한 진단과 수술이 요구됩니다.

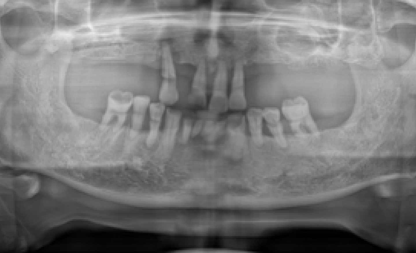
시흥치과 서울안심 임플란트 재수술 시술 전

BEFORE

시흥치과 서울안심 임플란트 재수술 시술 후

AFTER

CASE.

임플란트 재수술

*위의 이미지는 동일한 조건에서 촬영되었으며 별도의 보정 작업을 거치지 않았습니다.

*모든 치료과정에서 부작용이 발생할 수 있으므로 정확한 진단과 수술이 요구됩니다.

*위의 이미지는 동일한 조건에서 촬영되었으며 별도의 보정 작업을 거치지 않았습니다.

*모든 치료과정에서 부작용이 발생할 수 있으므로 정확한 진단과 수술이 요구됩니다.

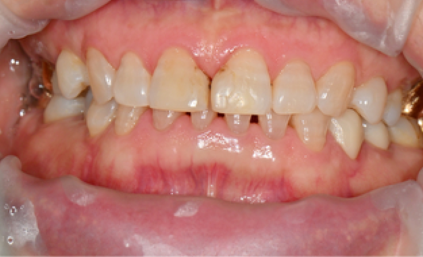
시흥치과 서울안심 앞니 공간 레진치료 시술 전

BEFORE

시흥치과 서울안심 앞니 공간 레진치료 시술 후

AFTER

CASE.

앞니 공간 레진치료

*위의 이미지는 동일한 조건에서 촬영되었으며 별도의 보정 작업을 거치지 않았습니다.

*모든 치료과정에서 부작용이 발생할 수 있으므로 정확한 진단과 수술이 요구됩니다.

*위의 이미지는 동일한 조건에서 촬영되었으며 별도의 보정 작업을 거치지 않았습니다.

*모든 치료과정에서 부작용이 발생할 수 있으므로 정확한 진단과 수술이 요구됩니다.

부담은 줄이고,
안심은 더했습니다

불필요한 치료는 권하지 않고, 꼭 필요한 치료만 정직하게 안내합니다.
서울안심치과는 진료비까지 투명한 치과입니다.

비용/보험 자세히 보기

서울안심치과 오시는 길

대표전화

031.520.2882

카카오톡

서울안심치과의원

오시는길

경기도 시흥시 수인로 3350,
임플란트55만원빌딩 3~5층

진료시간
  • 월 · 목

    09:30 ~ 20:00

  • 화 · 수 · 금

    09:30 ~ 18:30

  • 점심시간

    12:30 ~ 14:00

  • 토요일

    09:30 ~ 14:00

  • *토요일은 점심시간 없이 진료 *일요일 및 공휴일은 휴무

서울안심치과의원
빠른 상담 요청하기

  • 이름

  • 전화번호